ûÁÖ Ã»¿ø ÃæÁÖ Á¦Ãµ ´Ü¾ç ±«»ê ÁõÆò ÁøÃµ À½¼º º¸Àº ¿Áõ ¿µµ¿
Áñ°Üã±â Ãß°¡
Àüü±â»ç Á¤Ä¡ °æÁ¦ »çȸ ±³À° ¹®È­/üÀ° Á¾±³ ÇÖÀ̽´ Àü±¹Àº Áö±Ý
2026³â 2¿ù 2ÀÏ(¿ù¿äÀÏ)
Àüü±â»ç
Á¤Ä¡
°æÁ¦
»çȸ
±³À°
¹®È­/üÀ°
Á¾±³
ÇÖÀ̽´
Àü±¹Àº Áö±Ý

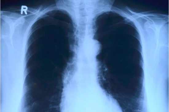
º¸Àº±ºº¸°Ç¼Ò, ¼±º°Áø·á¼Ò ³» X-·¹ÀÌ ÃÔ¿µ±â ¿î¿ë

À̵¿Çü X-ray¼³Ä¡·Î ¼±º°Áø·á ±â´É °­È­, Æó·Å°Ë»ç ½Å¼Ó È®ÀÎ
2020. 02.26(¼ö) 09:52

º¸Àº±º º¸°Ç¼Ò(¼ÒÀå ÀÌ¿µ¼ø)´Â Äڷγª19 È®ÁøÈ¯ÀÚ°¡ Áö¼ÓÀûÀ¸·Î ¹ß»ý¿¡ µû¸¥ ±º¹ÎµéÀÇ ºÒ¾È°¨À» ÇØ¼ÒÇϱâ À§ÇØ ¼±º°Áø·á¼Ò¿¡ À̵¿Çü X-ray¸¦ ¼³Ä¡ÇØ ¼±º°Áø·á ±â´ÉÀ» °­È­ÇÑ´Ù°í 26ÀÏ ¹àÇû´Ù.

ÀÌ¿¡ µû¶ó Äڷγª19 ÀÇ½É È¯ÀÚ ¹æ¹® ½Ã º¸°Ç¼Ò ¾ÈÀ¸·Î À̵¿ÇÏÁö ¾Ê°í, ¿Á¿Ü¿¡ ÀÖ´Â ¼±º°Áø·á¼Ò¿¡¼­ Æó·Å Áø´Ü °Ë»ç¸¦ ½Å¼ÓÇÏ°Ô ÃÔ¿µÇÒ ¼ö ÀÖ°Ô µÆ´Ù.

±º º¸°Ç¼Ò °ü°èÀÚ´Â "º¸°Ç¼Ò¸¦ ÀÌ¿ëÇÏ´Â Áö¿ªÁֹΰú °¨¿° ÀǽÉÀÚ¿ÍÀÇ Á¢ÃËÀ» ¹æÁöÇØ Áö¿ª ³» °¨¿°À» Â÷´ÜÇϰí Äڷγª19ÀÇ Á¶±â Áø´ÜÀÌ °¡´ÉÇÏ°Ô µÆ´Ù"¸ç "ÇöÀç Áö¿ª ³» ÀüÆÄ¸¦ Â÷´ÜÇϱâ À§ÇØ ¹æ¿ª°ú ¿¹¹æ¿¡ ÃÖ¼±À» ´ÙÇϰí ÀÖ´Ù"°í ¸»Çß´Ù.


º¸Àºe´º½º admin@boeunenews.com